SMS 상담
-
-
라미네이트 > 치료 전후 사진
본문 바로가기
홈
|
회원가입
|
로그인
|
사이트맵
치과소개
치과 소개
의료진 소개
오시는 길/진료안내
병원둘러보기
임플란트 센터
치과 임플란트의 특별함
발치 즉시 임플란트
뼈이식/상악동 이식 임플란트
임플란트 재수술
임플란트 틀니
치아성형
심미치료의 특별함
Emax 올세라믹
라미네이트
지르코니아
앞니 재치료
일반진료
사랑니 발치
충치 치료
잇몸 치료
틀니
상담&커뮤니티
온라인 상담
공지사항
치료 전후 사진
치료후기
문의 및 상담
친절하게 상담해드립니다.
상담&커뮤니티
온라인 상담
공지사항
치료 전후 사진
치료후기
치료 전후 사진
홈 > 상담&커뮤니티 >
치료 전후 사진
라미네이트
페이지 정보
작성자
보건치과
작성일
16-04-11 18:26
조회
1,443회
댓글
0건
이전글
목록
본문
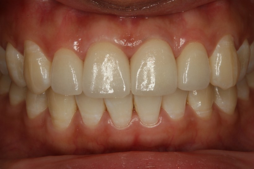
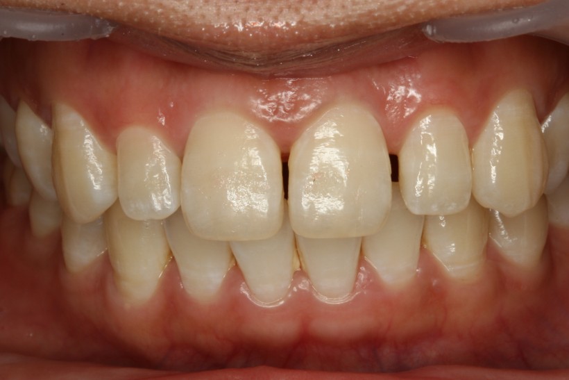
라미네이트 치료 증례
이전글
목록
·
월 ~ 금
09:30 ~ 18:30
·
토 요 일
09:00~13:30
·
점심시간
13:00 ~ 14:00 (공휴일 및 일요일 휴진)
이용약관 & 개인정보취급방침
주소:경기도 수원시 팔달구 효원로307번길 61 장성빌딩 (지번)경기도 수원시 팔달구 인계동 1118-7 | Tel:031-238-9296 | Fax:031-238-9296 상호:보건치과의원 | 대표자:장세훈 | 사업자등록번호:835-42-00051
Copyright ⓒ www.
bogeon
.co.kr All rights reserved.