EMAX 앞니 치료
페이지 정보
작성자 보건치과 작성일16-04-11 18:27 조회1,473회 댓글0건본문
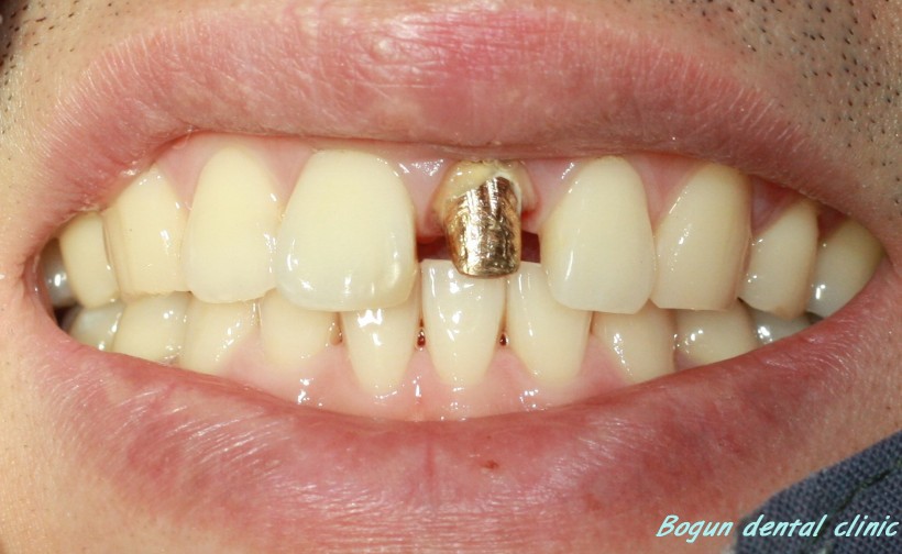
앞니가 망가지시면 상당히 곤란해들 하십니다.
앞니 치료의 가장 중요한 점은 기능은 물론이고 심미적인 문제가 가장 큽니다.
앞니 치료를 기존에 하셨던 분들은 내 이 같지 않은 자연스럽지 못한 부분들이 불만이 많으셨을텐데요
이 치료는 상당히 전문성을 요하며, 기술력이 있어야 제대로 된 치료를 받으실 수 있습니다.
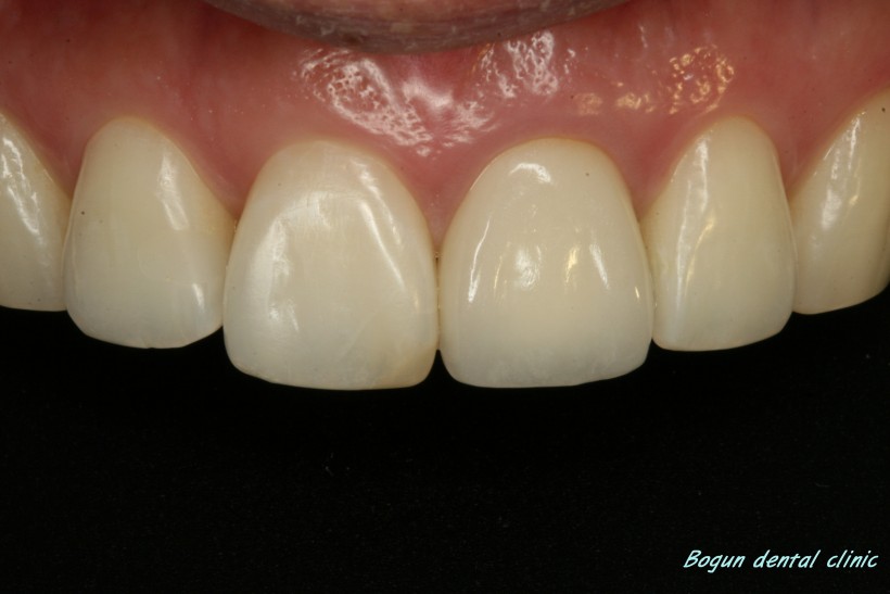
본 치료는 EMAX를 이용한 치료로 치아의 투명성과 층별 색상을 다양하게 적층하여 제작된 것입니다.







