교합이 무너진 경우
페이지 정보
작성자 제작관리자 작성일17-01-16 16:26 조회1,312회 댓글0건본문
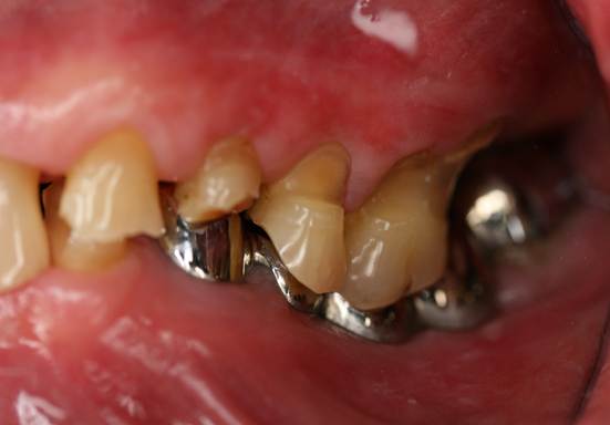
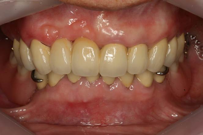
어금니가 많이 무너진 상태로 앞니까지 망가지고 있는 상태입니다. 이런 경우 조심스럽게 치료에 접근해 나가야 하는데요
무리하게 수복을 할 경우 턱관절에도 악영향을 미칠 수 있어 시간이 좀 걸리고 어려운 케이스라고 볼 수 있습니다.
이런 경우 먼저 스플린트 (꼈다 뺏다 하는 장치)로 수직적인 높이를 회복시키며, 턱관절이 잘 적응하는지 봅니다.
그 후 임시치아와 임시틀니로 높이를 그대로 재현하여 다시 한번 안모와 기능적으로 문제가 없는지 확인을 합니다.
문제가 없음을 확인한 뒤에 전체 치아와 틀니를 제작하여 들어갑니다. 이 사진은 틀니를 제작한 것이고 틀니 대신 임플란트로 대체도 가능합니다.









