앞니 임플란트 수복
페이지 정보
작성자 제작관리자 작성일18-04-12 09:09 조회1,698회 댓글0건본문
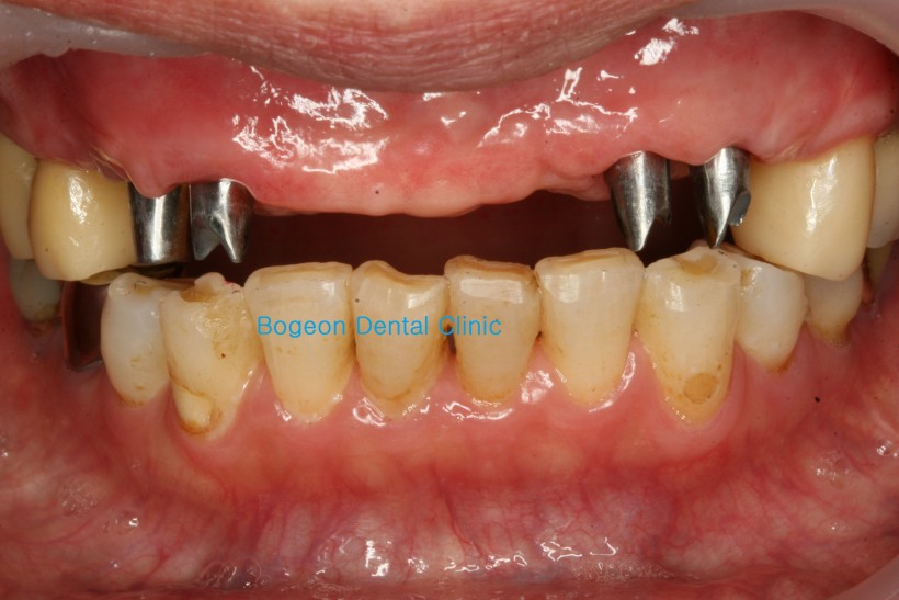
장기간의 틀니 사용으로 아래 앞니가 올라와서 위 앞니의 공간이 많이 부족했던 경우입니다.
이런 경우 공간이 부족한 부위에 임플란트를 식립하여 짧게 치아가 제작되면, 심미적으로 많은 문제가 될 수 있습니다.
무작정 수술을 하기 보다는 계획을 세워 먼저 시뮬레이션을 해봐야 하는데요.
이상적인 치료방법은 아래 앞니의 크라운 수복을 통해 교합평면을 맞추고, 윗니를 들어가는 것이 가장 좋습니다만, 비용적인 면에서 많은 부담이 될 수 밖에 없습니다.
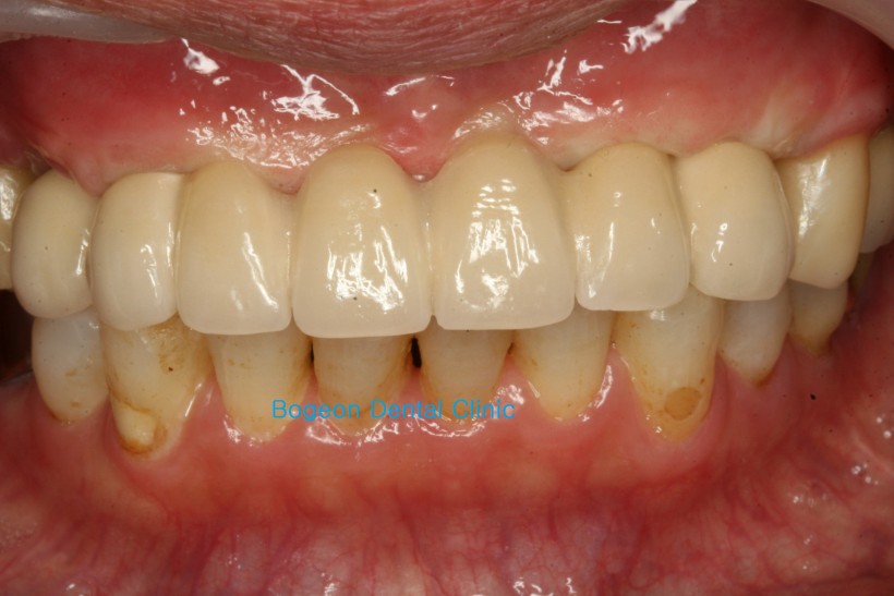
하지만, 다음 사진 처럼 약간 입술 쪽으로 공간을 뺀다면, 아래 앞니의 치료 없이 어느 정도 치아 모양을 맞추어 줄 수 있습니다.
다음의 경우는 임플란트 수술을 하면서도 공간을 확보하기 위해 약간의 뼈를 다듬는 수술도 진행하였습니다.
환자분은 오랫동안 임플란트가 아닌 틀니로 생활하시면서, 고민이 많으셨는데 수복 후에는 이제 잘 웃을 수 있다고 만족해 하셨습니다.







