상악 전악 임플란트
페이지 정보
작성자 제작관리자 작성일18-04-17 16:42 조회1,113회 댓글0건본문
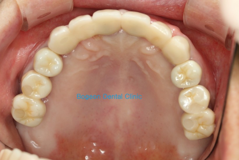
얼마전 85세의 고령이심에도 불구하고 틀니의 불편함을 토로하셔 임플란트로 수복했던 경우입니다.
다행히 뼈가 많이 있으셔서 힘든 과정임에도 불구하고, 잘 참아주신 덕택에 치료가 끝나게 되었습니다.
잘 사용하시고, 틀니의 번거로움을 덜어드린 것 같아 개인적으로 기분이 좋았던 케이스입니다.

Copyright ⓒ www.bogeon.co.kr All rights reserved.