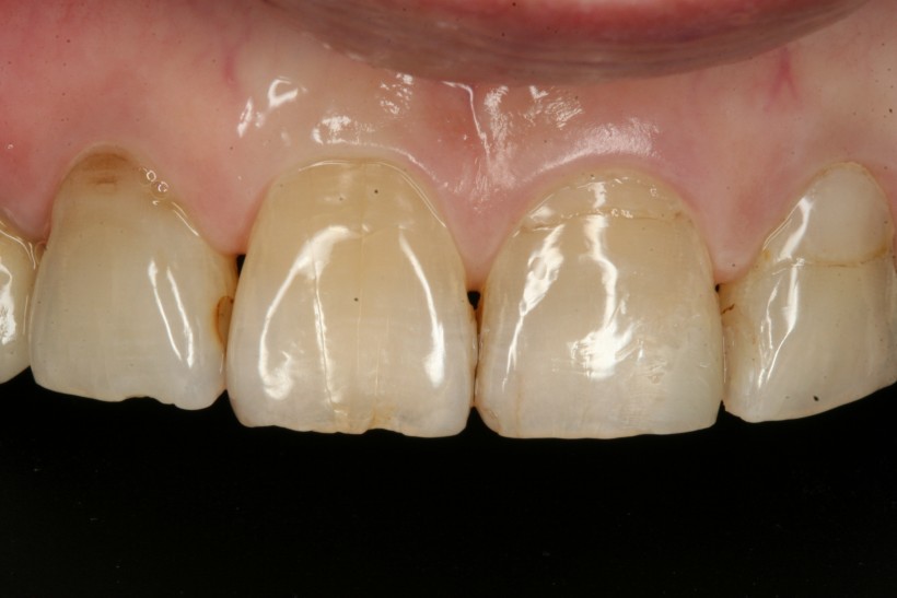
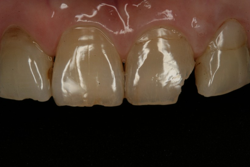
앞니 파절 레진 > 치료 전후 사진

치료 전후 사진

홈 > 상담&커뮤니티 > 치료 전후 사진

앞니 파절 레진

페이지 정보

작성자 제작관리자 작성일19-03-13 15:43 조회956회 댓글0건

본문



충치가 있어서 치아가 파절된 경우로 레진으로 수복하였습니다.

· 월 ~ 금 09:30 ~ 18:30 · 토 요 일 09:00~13:30 · 점심시간 13:00 ~ 14:00 (공휴일 및 일요일 휴진)


주소:경기도 수원시 팔달구 효원로307번길 61 장성빌딩 (지번)경기도 수원시 팔달구 인계동 1118-7 | Tel:031-238-9296 | Fax:031-238-9296 상호:보건치과의원 | 대표자:장세훈 | 사업자등록번호:835-42-00051

Copyright ⓒ www.bogeon.co.kr All rights reserved.

관리자로그인